転移性脳腫瘍

転移性脳腫瘍について

転移性脳腫瘍とは、体の他の場所にできた腫瘍が脳に転移したものです。脳そのものの中に、脳を包む膜(硬膜)や脳脊髄液に転移したもの(癌性髄膜炎)も含まれます。
がん患者の平均寿命の伸びとともに増加し、脳腫瘍全体の16%あるいはそれ以上を占めるとも言われています。肺がん、乳がん(脳を包み覆う膜である、硬膜に転移が多い)、消化器がんからの転移が多く見られるほか、もともとのがんが症状を出す前に脳転移で発見される例もあります。50歳以降の男性にやや多く発生します。(参考:埼玉県立がんセンター)

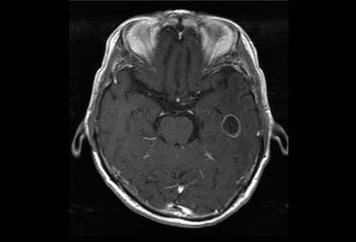
肺癌からの転移

治療前

治療前


1ヵ月後

1ヵ月後


4ヵ月後

4ヵ月後

乳癌からの転移

治療前

治療前


治療一ヶ月後 腫瘍、浮腫の消失

治療一ヶ月後 腫瘍、浮腫の消失

乳癌 第7頚椎転移 放射線治療後再発

治療時MRI

治療時MRI


治療時PET

治療時PET

PETでの経過観察

治療時

治療時


一年後

一年後

治療内容
・1~5日間で照射(大きさや個数によって照射期間が異なります。)
副作用 等
(治療当日~数日間)
・吐き気や嘔吐など、多くの場合、治療後数日でおさまります。
・けいれん発作が起きることがあります。今までにけいれん発作の経験がある方運動領野周辺に病巣がある場合に起きやすい傾向があります。
(数週間後)
・頭髪が円形脱毛症の様に抜けることがありますが、ほとんどの場合、数ヶ月間で再生します。
(数ヶ月~数年後)
・治療腫瘍周囲に脳浮腫や放射線壊死が起きることがあります。
※治療効果につきましては、ご病状等により異なる場合がございます。
※詳細につきましては、診察時に担当医よりご説明させていただきます。

サイバーナイフ

サイバーナイフセンターへのお問い合わせ、診察のご予約はお電話にて承ります。

受付時間 : 月曜~金曜日 午前8時30分~午後5時

〒241-0014 神奈川県横浜市旭区市沢町574-1

当院へのアクセス 無料送迎サービス

Copyright (C) 2016 Medical Corporation Tokyo Sekishin Kai. All Rights Reserved.

GoTop